
Smile Designing
Smile Designing in Dombivli


Transform Your Smile with Precision & Care at Pitale Dental Care
At Pitale Dental Care, we offer advanced Smile Designing in Dombivli to enhance the appearance of your teeth while maintaining natural aesthetics and oral health. Smile designing is a personalized cosmetic dental procedure that improves the shape, size, color, alignment, and overall harmony of your smile.
Our approach combines modern cosmetic dentistry, digital planning, and artistic precision to deliver confident, natural-looking smiles.
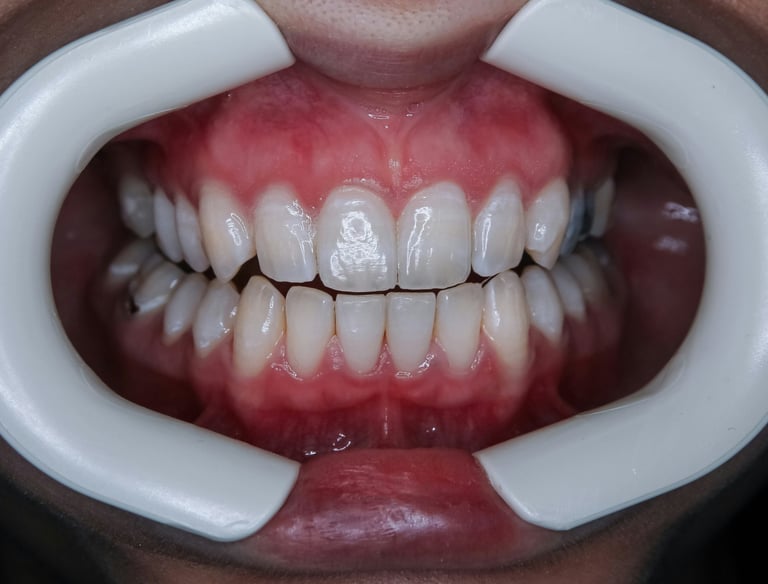
What Is Smile Designing?
Smile Designing is a customized dental treatment plan that focuses on improving the visual appeal of your smile. It may involve one or multiple procedures depending on your dental condition and aesthetic goals.
Every smile is unique, which is why we carefully analyze:
Tooth shape, size & color
Gum line and symmetry
Facial features & smile line
Bite and alignment


Smile Designing Treatments We Offer
Depending on your needs, smile designing may include:
🦷 Teeth Whitening
Brightens stained or dull teeth for a radiant smile.
🦷 Dental Veneers
Thin porcelain or ceramic shells to improve shape, size, and color.
🦷 Dental Crowns
Restore damaged or weak teeth while enhancing aesthetics.
🦷 Braces & Clear Aligners
Correct misalignment for a balanced and symmetrical smile.
🦷 Gum Contouring
Reshapes uneven gums for a more proportionate smile.
🦷 Tooth-Colored Fillings
Repair cavities and chips with natural-looking materials.
Why Choose Pitale Dental Care for Smile Designing in Dombivli?
✔ Trusted cosmetic dental clinic in Dombivli West
✔ Personalized smile design plans
✔ Advanced dental technology
✔ Natural-looking and long-lasting results
✔ Ethical and transparent treatment approach
✔ Comfortable and hygienic environment


Our Smile Designing Process
Consultation & Smile Analysis
Digital Smile Planning
Customized Treatment Plan
Step-by-Step Smile Transformation
Final Review & Smile Maintenance Guidance
We ensure you are informed and comfortable at every step.
