
Tooth bonding
Tooth bonding in Dombivli


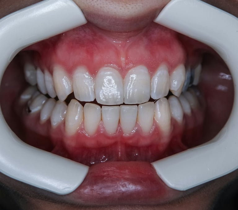
Tooth bonding is a cosmetic dental procedure where a tooth-colored resin material is applied to repair chipped, cracked, discolored, or gapped teeth. It blends in naturally and improves your smile without removing enamel. It’s painless, quick, and usually completed in one visit.
BENEFITS OF TOOTH BONDING
Affordable cosmetic solution
No anesthesia in most cases
Single-visit treatment
Natural tooth-colored finish
No enamel removal or drilling
Painless & comfortable
Boosts smile confidence instantly


WHO NEEDS TOOTH BONDING
Chipped or cracked teeth
Small gaps between front teeth
Discoloration or stains
Slightly uneven or short teeth
Mild tooth wear or abrasion
Cosmetic imperfections affecting your smile
HOW THE PROCEDURE WORKS
Assessment & Shade Matching – The dentist selects a resin shade matching your natural teeth.
Tooth Preparation – Surface is gently etched for better bonding (no drilling in most cases).
Resin Application – Composite resin is applied and shaped to the tooth.
Curing – A special light hardens the material within seconds.
Final Polishing – Tooth is polished for a smooth, natural finish.
FREQUENTLY ASKED QUESTIONS
Q: Is tooth bonding painful?
A: No. Bonding is generally painless and rarely requires anesthesia.
Q: How long does the procedure take?
A: Most bonding appointments are completed in one visit, within 30–60 minutes per tooth.
Q: Does bonding look natural?
A: Yes. The material is matched to the natural shade of your teeth for seamless results.
Q: Can bonding stain or chip?
A: Yes. Avoid biting hard foods, chewing nails, or consuming excessive coffee/tea to maintain results.
Q: Is bonding permanent?
A: Bonding is long-lasting but not permanent; it may need touch-ups over time.


